2010年9月29日水曜日
2010年9月27日月曜日
2010年9月26日日曜日
2010年9月25日土曜日
2010年9月23日木曜日
2010年9月21日火曜日
こんばんゎ☆
ハトャです(^-^)
夜分遅くに失礼致します。
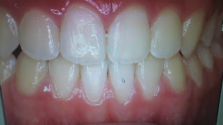
この方は、前歯をインプラント、オフィスホワイトニングして、ラミネートして下さった方です(>_<)
全て自費です(^^)
見違えてしまう程ですょね!
※1インプラントは、顎の骨に歯の根の代わりにインプラント(ネジのようなもの)を埋めて、時期がきたら歯を入れます。
※2オフィスホワイトニングは、ホワイトニングのひとつで、歯科医院に来て頂いて行う即効性のあるものです。
※3ラミネートは、イメージはマニキュアで、少し小ぶりな歯を覆って被せます。
歯が入ったり、白くなったり、希望が叶っていく毎に喜んで下さってました♪
私共としましても大変、嬉しい限りです!
ビフォアーアフターの写真を見て、勝手ににんまりしてしまいました(笑)
興味あるかたはぜひ、どーぞ(^.^)
お待ちしております♪
































