コマキ歯科ハートフルブログ

2020年1月31日金曜日

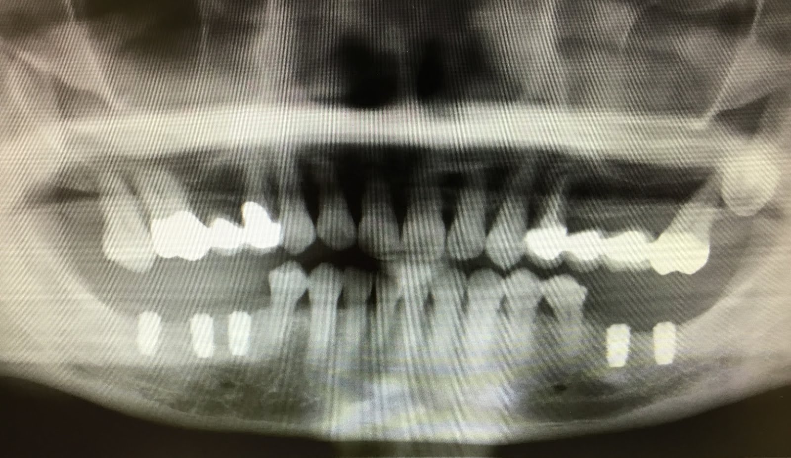
右上5番目にインプラント埋めた方です。
種類はアストラ直径4.0長さ8㎜で術中術後も痛みはなかったそうです。
次は糸取りになります。

2020年1月30日木曜日



大変遅くなりましたが☺️、あけましておめでとうございます🎍✨

 2020年も先生、スタッフ共に元気に出勤しています!


今年は、新しい機械の導入やホワイト二ングのキャンペーンなどを予定しています😊

新しい事が始まる年はワクワクしますね!


今年も、皆さんのお口の健康のためにスタッフ一同頑張りますので、よろしくおねがいします🌟




2020年1月27日月曜日

左下2本インプラント埋めた方です。
種類はS-clean直径4.3長さ10㎜を2本埋めました。
術後の経過も痛みもなく良好です。

2020年1月16日木曜日

右下3本インプラント埋めた方です。種類はアストラ直径4.0長さ8㎜を3本埋めました。採血したものもいれました。1ヶ月前には左下を2本埋めて最終的には5本白い被せ物を入れる予定です。
術後の経過も良好です。